看教程不够直观,那就看视频吧! >>点击加载视频
细胞自噬是指在自噬相关基因的调控下,利用溶酶体降解自身受损的细胞器及大分子物质的过程,以此维持细胞自身的需要及细胞器的更新。
一、细胞自噬的基本概念及特征
1、自噬的过程
细胞质中的线粒体等细胞器首先被称为“隔离膜”的囊泡所包被,这种“隔离膜”主要来自于内质网和高尔基体;囊泡逐渐闭合最终形成双层膜结构,即自噬体,其大小约为 500 nm左右,囊泡内常见的包含物有胞质成分和某些细胞器如线粒体、内吞体、过氧化物酶体等;自噬体的外膜与溶酶体融合形成降解自体吞噬泡;由溶酶体内的酶降解自体吞噬泡中的内容物和内膜。
2、自噬的形态学变化
在电镜下能观察到高尔基体等细胞器膨胀,细胞核固缩,形成大量的吞噬泡,细胞质膜发生特化。
3、自噬的分类
①巨自噬(Macroautophagy):最为常见,即上面说的自噬过程。
②微自噬(Microautophagy):是指溶酶体主动、直接吞噬胞浆成分的一种方式。
③分子伴侣介导的自噬(CMA):一些分子伴侣,如hsp70,能帮助未折叠蛋白转位入溶酶体。
4、影响因素
其影响因素包括:饥饿、蛋白聚集、凋亡、缺氧、病原体感染等,均会造成细胞自噬产生。正常情况下,细胞自噬发生的概率很低,只有受到以上因素的影响时,自噬才会被激活,参与机体稳态调控。
二、细胞自噬信号通路
自噬的调控
1、依赖mTOR(哺乳动物雷帕霉素靶点)途径的自噬
   1)PI3K-AKT-mTOR信号通路
   2)AMPK-TSC1/2-mTOR 信号通路
2、其它的信号通路
1)3-甲基腺嘌呤(3-MA)通过抑制Class ⅢPI3K的活性抑制自噬。
2)beclin1和UVRAG作为正调控子,抗凋亡因子bcl-2作为负调控子共同参与组成Class ⅢPI3复合物调控自噬。
3)GTP结合的G蛋白亚基Gαi3抑制自噬;GDP结合的Gαi3蛋白活化自噬。
4)死亡相关蛋白激酶(death-associated protein linase,DAPK)和DAPK相关蛋白激酶(DAPK-related protein kinase-1,DRP-1)诱导自噬。
三、细胞自噬的研究方法
1、自噬体的观察
直接法:直接在透射电镜下观察自噬不同阶段的形态变化
① 初期,主要特征是成新月状,单层或多层膜
② 中期:双层或多层的液泡状结构即自噬体结构,内含胞浆成分,如线粒体、内质网等
③ 后期:形成自噬溶酶体,单层膜,胞浆成分已降解。
间接法:
① RFP-GFP-LC3双荧光标记
| 该原理为,当自噬体与溶酶体未发生融合时,RFP荧光和GFP荧光都是存在的,当自噬体与溶酶体发生融合时,导致GFP淬灭,此时只能观察到红色荧光。 | 
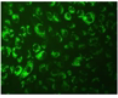
②  GFP-LC3单荧光标记
| 原理为自噬形成时,GFP-LC3融合蛋白转移到自噬体膜上,在荧光显微镜下可以看到多个绿色斑点,一个斑点可看成是一个自噬体,可通过计数确定自噬活性的高低。 | 
③ MDC染色
| MDC是一种嗜酸性的荧光色素,由于能使所有的酸性泡着色,故为非特异性染色。 | 
2、自噬相关蛋白的研究
通过Western Blot检测LC3II/I,p62,Beclin-1,ULK1蛋白的表达量
四、自噬研究进展
(1)细胞自噬与神经退行性疾病
Yan Yin ,etal,Ageing Research Reviews,2017
Yan Yin等人研究发现,在神经退行性疾病例如阿尔茨海默病中,β-淀粉样蛋白在脑部的沉积可以抑制自噬体和溶酶体的融合,从而抑制自噬,导致神经细胞的死亡。
(2)细胞自噬与中药靶点研究
Bing Cui,etal,Asian Natural products Research,2017
Bing Cui等人研究了多种中药成分在自噬调控中的作用,发现黄连素通过AMPK,抑制mTOR,进而促进细胞自噬;黄酮类药物主要与癌症相关,通过激活Beclin1,促进细胞自噬;多酚类药物在心血管疾病中应用较多,通过P38和LC3等靶点促进细胞自噬。
(3)细胞自噬与病原体感染
Yan Zhou,etal,Bbadis,2017
Yan Zhou等人研究发现,轮状病毒RV NSP4抑制IGF受体,阻断其与PI3K的结合,抑制了下游mTOR信号通路,解除了对ULK1的抑制作用,从而促进自噬,为病毒在宿主体内增殖提供条件。
(4)细胞自噬与免疫
SamuelD Dowling,etal,Cancer Lett,2018
T细胞的激活与TCR信号通路和CD28信号通路有关,TCR信号通路和CD28信号通路的激活能促进IL-2的转录表达,IL-2与其受体结合,激活自噬相关通路,可以将错误折叠的蛋白和一些细胞器降解,为细胞生存提供条件。
(5)细胞自噬与肿瘤
细胞自噬与肿瘤的关系较为复杂,一方面,正常细胞自噬增强,可表现出抑制肿瘤发生的功能;另一方面,肿瘤细胞也可通过增强细胞自噬来对抗由缺氧、代谢产物、治疗药物诱导的应激反应。
相关阅读:
长按二维码识别关注“小张聊科研”
关注后获取《科研修炼手册》1、2、3、4、5、6、7,8。
 
                如果觉得我的文章对您有用,请随意打赏。你的支持将鼓励我继续创作!
