看教程不够直观,那就看视频吧! >>点击加载视频
最近有一些博士与小编讨论开题问题。小编就会问到那你都有什么准备呢,做了哪些前期工作,得到的答案是啥也没有...
原因很复杂,但主要原因是没有足够的时间去看文献和前沿的报道,不知道研究什么是有意义的,这时你又不能跟导师说我准备先花十万做做预实验,小心导师打死你。
此刻你内心是焦急的,选择也很有限,同时很多名词浮现在你眼前:差异基因分析、通路注释、生存分析、富集分析、PPI互作、WGCNA分析,如果你是个爱看新闻的老同鞋,你还能想到免疫浸润、免疫微环境、免疫评分、甲基化、多组学...但是这些跟你有啥关系呢(┬_┬)你并不会操作,而且你现在亟需一个研究的意义。
当你跟导师讲一个“我要做一批样本的差异基因,并且再做一个WGCNA,然后富集到某个功能上,然后再做实验验证”的故事的时候,老板通常眉头是紧锁的,这别人都做了一万遍了,你再做一遍的意义何在...
正确的打开方式应该是这样的:我通过调研了几十篇文献(具体数量取决于你的胆量),咦!发现了一个基因名叫XXX,在某某疾病中是这样式的,有一个不错的机制,但是在我们研究的疾病中还没有被报道,如果我能发现啥啥啥(能发现啥取决于你的想象力),那这是一个非常有意义的研究!这时你在不知不觉之间就开启了一个单基因的研究。
单基因研究的好处真是非常多:首先基因多,你至少有上千个选择,其次你把要对它进行的操作模块化,然后再增加、减少、调整若干个模块,想跟别人重复都很难,在导师眼里你简直就是一缕清流,不落俗套!
最后,明确了基因,怎么做实验其实心里也就有数了。把你擅长的实验方法都掏出来吧!你的论文将变得很厚很厚...
说了这么多但也不是没有缺点,单基因研究很难每一个步骤都产生一致的好结果,但你现在不是啥也没有嘛,找到研究意义比找到研究结果紧急。
这里推荐几个单基因研究好套路
文章1:HVEM基因作为免疫检查点分子在GBM发展中的重要性
这篇文章主要介绍了HVEM作为免疫检查点分子在GBM发展中的重要性。作者动用多种来源的数据和多个分子水平的数据来证明HVEM在GBM中是一个与预后和免疫浸润有显著关系的biomaker。
这篇文章工作量很大,这里简单介绍。
HVEM mRNA在WHO II-IV级胶质瘤中的表达水平,数据来源分别是TCGA (n = 669), CGGA (n = 325), Rembrandt (n =510).与低级神经胶质瘤(LGG)样本相比,观察到HVEM在GBM中显着上调(P<0.001)。在TCGA和CGGA队列中,WHO III级的HVEM表达也高于WHO II级病例(P <0.001)。
图B:通过ROC曲线进一步表明HVEM可能是一种胶质瘤潜在的诊断标志物(the area under thecurve (AUC) value= 0.7797; P<0.001).
图C:更加细分水平下的HVEM表达水平(分类原则:2016WHO分类)
HVEM在LGG-Oligo和LGG-Astro中下调,但在LGG-IDHwt上调(包含both TCGA and CGGA datasets)
作者收集原发性神经胶质瘤(n = 34)和正常脑组织(n = 6)样本,通过免疫组化结果验证HVEM表达在蛋白质水平上也被上调,与LGG(5/12; 41.7%)和GBM(16/22; 72.7%)相比,在正常脑组织中表达较低(1/6; 16.7%)
在正常脑组织(n=6)、LGG和GBM(n=34)中的定量染色结果,表达量随肿瘤级别增加而增加。
通过倍数放大显示,HVEM在GBM中阳性表达,但在相邻的正常脑组织中表达较低。
HVEM在不同亚型胶质瘤之间的异质性(基于VERHAAK_2010分类方案):
· 人脑胶质瘤在分子水平上可分为经典(CL)、间充质(MES)、神经前(PN)和神经(NE)四个亚类。与PN或NE亚型相比,CL和MES亚型表现出更多侵袭性。
· 在TCGA数据集中,与NE、PN CpG岛甲基化子表型(G-CIMP)或非G-CIMP分子亚型相比,MES分子亚型中HVEM表达显著增加。
· ROC曲线进一步表明,HVEM可能是胶质瘤MES亚型预测的有效指标。
· 在Rembrandt数据集中呈现与TCGA一致的结论。
用TCGA的两组样本(HVEM高低表达)通过GESA算法分析两组样本中MES and PN signatures;
图D:对93份样本的RNA测序数据分析表明,与NE和正常脑区相比,HVEM在GBM-CE区高表达
图E:根据常春藤胶质母细胞瘤Atlas项目的RNA-seq数据分析得到,与其他病理区域相比,HVEM在PAN(坏死区)、MVP(微血管增生)和HBV(增生血管)中有丰富的分布。
通过生存分析评估HVEM的预后价值:
用TCGA和CGGA数据集中HVEM在胶质瘤中表达的中位数绘制曲线,HVEM高的患者的总生存期(OS)显著短于HVEM低的患者(P<0.001)
根据不同的组织亚型分类对患者进行分析,不利的OS也与较高的HVEM表达有关
使用TCGA数据集分析基因组特征:用来确认HVEM的高低表达是否与特殊的基因组特征相关联。
文章2:高表达CPT1A作为白血病治疗靶标的研究
详细介绍:https://shengxin.ren/article/393
分析流程整理:
数据选取
↓
差异基因分析
↓
生成表达火山图
↓
生成差异基因热图
↓
KEGG通路富集分析
↓
根据表达值进行分组,然后进行Wilcoxcon秩和检验
↓
miRNA和基因的相关性分析
↓
通过皮尔森相关系数分析mRNA-miRNA互作关系
↓
差异甲基化分析和甲基化位点分布统计
↓
生成差异甲基化分别在Island和gene promoters的表达热图
文章3:CDK5作为人肺癌肿瘤启动子的功能
这篇文章作者通过肺癌样本数据研究CDK5作为启动子在癌症中发挥的功能。作者通过数据库和体外实验探究了CDK5基因的转录,存活,功能和结构。作者发现大多数癌细胞系中CDK5表达水平较高,而肝癌和脑癌细胞系中表达水平较低。CDK5的高表达与肺癌中较短的总体存活(OS)相关。此外,CDK5的高表达水平促进肺癌细胞的增殖和转移。抑制的CDK5活性降低了CAP1的磷酸化。CDK5可能被证明是抗癌疗法的有效靶标。
分析流程:
1.CDK5在不同癌症中的转录水平
CDK5在膀胱癌,乳腺癌,结肠直肠癌,头颈癌,肺癌,淋巴瘤,黑色素瘤,骨髓瘤,卵巢,子宫肌瘤,卵黄囊瘤和精原细胞瘤中高表达,并在脑,中枢神经系统(CNS)白血病和肝癌中低表达。CDK5的高转录水平显示肺癌和皮肤癌患者的预后不良。
2.CDK5转录水平与癌症预后的关系
通过两个数据库验证在肺癌中,CDK5与预后之间的关系具有统计学显著性,而在卵巢癌,乳腺癌和胃癌中无统计学差异。说明CDK5与肺癌预后不良有关。
3.CDK5蛋白质互作分析
通过String数据库分析蛋白互作得到三种蛋白(CDK5R1,CDK5R2和MAPT)与CDK5的相关性最高
4.肺癌亚型中的CDK5,p35,p39和MAPT基因组突变和CNA
肺鳞状细胞癌中CDK5,CDK5R1,CDK5R2和MAPT基因的改变百分比在个体基因中为CDK5,2.2%; CDK5R1,1.1%; CDK5R2,2.2%; MAPT,3.0%
这些变异包括扩增,深度缺失,截短突变和错义突变
CDK5中的第48个氨基酸易于突变,突变类型属于错义突变
5.肺癌亚型CDK5,p35,p39和MAPT的遗传分析
6.CDK5在人类癌症细胞系中的表达
CDK5在大多数癌细胞系MCF-7,EJ,A549,PC9中的表达上调,而在HepG2中明显下调和在U87细胞系中的表达明显下调,而在正常细胞系中几乎没有检测到CDK5的表达。
(后面是可以添加的实验部分)
7.CDK5在体外促进肺癌细胞的增殖能力
8.CDK5在体外促进肺癌细胞迁移
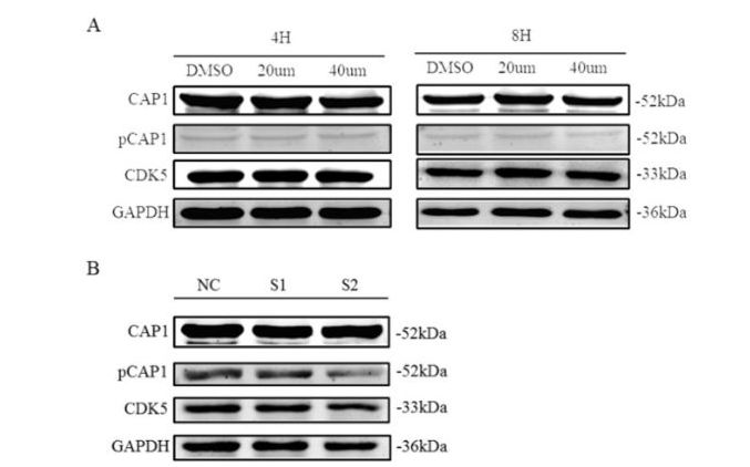
9.CDK5的抑制降低了CAP1磷酸化
篇幅不能太长,今天就到这了。今天讲的神器并不是一个工具,而是一种研究方案或者叫套路也行。
当然,你能想到的差异基因分析、通路注释、生存分析、富集分析、PPI互作、WGCNA分析,如果善于组合,也能成为一个好套路。但是这些名词太常见了,导师很容易不给过。
如果你有什么想法,可以联系小编;如果你想采购一个套路,也可以联系小编。
如果觉得我的文章对您有用,请随意打赏。你的支持将鼓励我继续创作!
